A inglesa de 42 anos sofreu um rasgo no forro da medula espinhal em volta do pescoço

Um mulher inglesa de 42 anos descobriu um vazamento em seu cérebro que pode ter sido causado pelas aulas de pilates a que frequentava, noticiou o jornal DailyMail.
De acordo com o site da publicação, o médico que cuidou do caso declarou que os exercícios poderiam ter contribuído para o desenvolvimento do problema. Entretanto, casos similares decorrem com maior frequência após acidentes de carros ou grandes traumas na região da cabeça
Foto: Reprodução/Daily Mail
Durante uma das aulas, ela sentiu uma espécie de estalo do lado esquerdo do pescoço e ficou preocupada
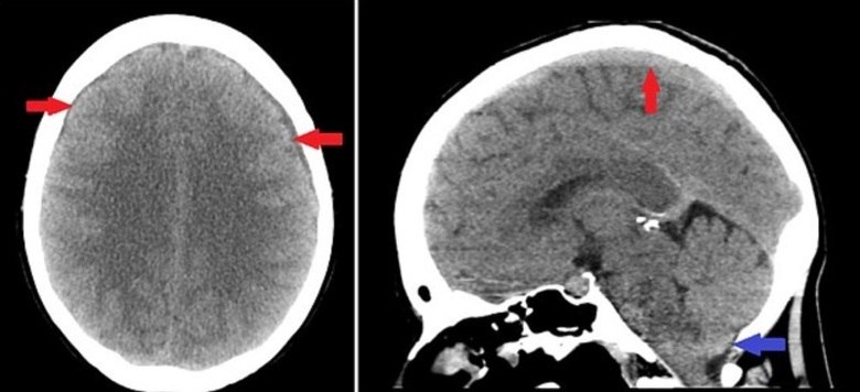
De acordo com o Kings College Hospital, em Londres, exames posteriores mostraram o vazamento de fluído cerebral pela espinha. Isso indicava que ela tinha um rasgo no forro de sua medula espinhal em volta do pescoço
Foto: Reprodução/Daily Mail
Ela vinha sofrendo uma dor de cabeça que piorava gradualmente durante quatro semanas, principalmente depois das aulas em que realizava exercícios de alongamento e de resistência em uma máquina, utilizando cintas e cordas
Foto: Reprodução/Daily Mail
No entanto, ao longo de alguns dias a situação piorou. Ela foi ao médico, que diagnosticou lesão muscular no pescoço e deu-lhe analgésicos e relaxante muscular. A mulher também teve que passar por sessões de fisioterapia, que incluíram manipulação intensiva do pescoço.
De acordo com os médicos, a mulher reagiu bem ao tratamento
Foto: Reprodução
0 comentários:
Postar um comentário